La ortodoncia es una especialidad de la Odontología que se encarga de todo estudio, prevención, diagnóstico y tratamiento de las anomalías de forma, posición, relación y función de las estructuras dentomaxilofaciales; siendo su ejercicio el arte de prevenir, diagnosticar y corregir sus posibles alteraciones y mantenerlas dentro de un estado óptimo de salud y armonía, mediante el uso y control de diferentes tipos de fuerzas.
La colocación de los aparatos ortodónticos fijos es un proceso más o menos largo que requiere muchos pasos, pero que no son para nada dolorosos.
Cuando una persona ha decidido iniciar un tratamiento de ortodoncia debe cumplir los siguientes pasos para que sea un éxito. En esta sección se define el orden.
ETAPAS DE UN TRATAMIENTO DE ORTODONCIA
- VALORACION
- REMISION DE EXAMENES
- DEFINICION DE DIAGNOSTICO Y PLANTEAMIENTO DE ALTERNATIVAS DE TRATAMIENTO
- EJECUCION DE TRATAMIENTO
- RETIRO DE LA APARATOLOGIA Y RETENCION
1. VALORACION
Es el primer contacto entre el paciente y el ortodoncista, la conversación gira entorno al motivo de consulta, aquella razón que motiva al paciente a iniciar ortodoncia, el profesional preguntara sobre que piensa que necesita cambiar, dientes, perfil de la cara o ambos. Muchas personas expresan su situación personal de como la posición de los dientes o de los maxilares han influido en sus vidas. El ortodoncista analiza en primera instancia el rostro , determina proporciones y simetrias, perfil, sonrisa, luego del éxamen extraoral revisa la boca, cuenta los dientes revisa si hay anomalías de posición, número, tamaño y forma, grado de apiñamiento verifica la mordida, pregunta sobre los antecedentes medico odontológicos y familiares.
2. REMISION DE EXAMENES
Luego de la impresión diagnóstica generada por la valoración clínica, el ortodoncista solicita exámenes al paciente como:
- Radiografía Panorámica
- Radiografía(s) Periapical
- Radiografía Oclusal
- Modelos de Estudio
- Telerradiografía de Perfil
- Carpograma
- Radiografía digital de rayo de cono
- Gamagrafía Ósea
- Resonancia Magnética
- Fotografías Extraorales
- Fotografías Intraorales
3. DEFINICION DE DIAGNOSTICO Y PLANTEAMIENTO DE ALTERNATIVAS DE TRATAMIENTO
Recopilados los exámenes y evaluado la información llega el momento de definir el diagnóstico facial, dental , esquelético, y funcional. Todos esos datos son importantes para que junto con el motivo de consulta permiten al ortodoncista explicar la realidad de cada paciente, definir los objetivos que se lograrán y plantear opciones de tratamiento. Las opciones de tratamiento dependen del diagnóstico del paciente el cual determina que es lo que no está normal o ideal y que mediante programación de objetivos se planifica alternativas de tratamiento.
Dentro de las alternativas de tratamiento dependiendo del diagnóstico son:
- Ortodoncia Correctiva con extracciones
- Ortodoncia Correctiva sin extracciones
- Ortodoncia Quirúrgica
- Ortodoncia preprótesica
- Ortodoncia Interceptiva
- Ortopedia maxilar
Animación de Ortodoncia con extracciones de primeros premolares.
Animación de Ortodoncia con extracciones de segundos premolares supoeriores y primeros premolares inferiores.
4. EJECUCIÓN DE TRATAMIENTO
Definido el plan de tratamiento se escoje el sistema de brackets, y se programa una cita para el montaje de aparatología, a partir de esta cita la programación será mensual o cada dos meses de acuerdo al sistema seleccionado.
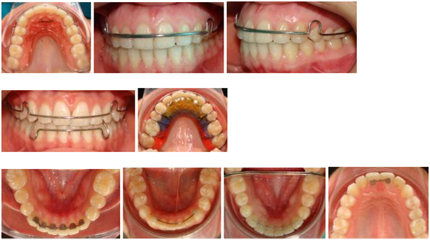
5. RETIRO DE APARATOLOGIA Y RETENCIÓN
Logrados los objetivos del tratamiento, el siguiente caso es el retiro de la aparatología en donde previamente se ha tomado impresiones en alginato y se han confeccionado los retenedores que el paciente deberá usar por un periodo de un año mínimo. Los retenedores pueden ser fijos o removibles.
A continuacion se muestra un video mas detallado y explicado sobre la colocacion de ortodoncia.
Fuentes:
Etapas de la ortodoncia: http://www.dentalnetla.net/sitio/tratamientos/ortodoncia/etapas-ortodoncia
Ortodoncia: http://www.ortodonciaba.com.ar/ortodoncia-paso-a-paso/
Colocación de ortodoncia: https://www.youtube.com/watch?v=ScS94SB4Kc4
Colocación de aparatos ortodonticos fijos:https://www.propdental.es/blog/ortodoncia/colocacion-de-los-aparatos-ortodonticos-fijos/
Fuentes:
Etapas de la ortodoncia: http://www.dentalnetla.net/sitio/tratamientos/ortodoncia/etapas-ortodoncia
Ortodoncia: http://www.ortodonciaba.com.ar/ortodoncia-paso-a-paso/
Colocación de ortodoncia: https://www.youtube.com/watch?v=ScS94SB4Kc4
Colocación de aparatos ortodonticos fijos:https://www.propdental.es/blog/ortodoncia/colocacion-de-los-aparatos-ortodonticos-fijos/


0 comentarios:
Publicar un comentario